VolverUna sonrisa blanca y luminosa es, sin duda, una de las cartas de presentación más poderosas que tenemos. Sin embargo, incluso quienes mantienen una buena higiene dental notan con el tiempo un tono amarillento o la aparición de manchas. ¿Por qué ocurre esto? La respuesta está, muchas veces, en lo que comemos y bebemos cada día. Alimentos que manchan los dientes sin que nos demos cuenta.
¿Por qué se manchan los dientes?
El color de los dientes depende de varios factores, pero uno de los principales es la pigmentación extrínseca, es decir, las manchas que se depositan sobre la superficie del esmalte debido a la acción de pigmentos, ácidos y hábitos.
Existen dos tipos de manchas:
En este artículo, nos centraremos en las manchas extrínsecas y cómo la dieta influye directamente en su aparición, ya que vamos a hablar de alimentos que manchan los dientes.
El esmalte es la capa más dura del cuerpo humano, pero no es indestructible. Su superficie tiene microporos que, con el tiempo, pueden volverse más permeables debido al desgaste o la exposición a ácidos.
Cuando eso ocurre, los pigmentos de ciertos alimentos se adhieren con mayor facilidad, generando manchas visibles que afectan el brillo y la tonalidad natural.
Ambas bebidas contienen taninos, compuestos vegetales que favorecen la adhesión de los pigmentos a la superficie dental. Cuanto más concentrado o frecuente sea su consumo, más rápido notarás el oscurecimiento.
Consejo profesional: alterna con agua o leche, y evita mantener la bebida demasiado tiempo en la boca.
El vino combina taninos, cromógenos y acidez, una “triple amenaza” para el color dental. El ácido abre los poros del esmalte y los pigmentos del vino se fijan con más facilidad.
Incluso el vino blanco, aunque no tiñe directamente, favorece la erosión del esmalte, haciendo que otros alimentos pigmenten más después.
Su acidez (pH bajo) y su alto contenido en colorantes artificiales tiñen el esmalte y alteran su superficie. Además, el azúcar acelera la desmineralización.
Dato clínico: los pacientes que consumen bebidas energéticas a diario presentan una erosión dental hasta 11 veces mayor que quienes no lo hacen.
Los arándanos, moras, cerezas y la remolacha son ricos en antioxidantes y antocianinas, pigmentos naturales de color violeta-rojizo que se adhieren con facilidad al esmalte.
Estas salsas poseen pigmentos oscuros y ácidos. Además, suelen combinarse con alimentos calientes, lo que abre los poros del esmalte y potencia el efecto de tinción.
El ácido no mancha por sí mismo, pero prepara el terreno para que otros alimentos sí lo hagan. Cuando el pH bucal baja, el esmalte se reblandece temporalmente, permitiendo que los pigmentos penetren más fácilmente.
Entre los más frecuentes encontramos:
Recomendación profesional: no cepilles los dientes inmediatamente después de consumir cítricos o vinagre, ya que podrías desgastar el esmalte. Espera entre 30 y 60 minutos.
No solo los alimentos manchan los dientes, también hay otros factores que son decisivos.
La nicotina y el alquitrán son responsables de manchas marrones persistentes que penetran profundamente en el esmalte. Además, el tabaco reduce la oxigenación de los tejidos, favorece la placa bacteriana y aumenta la probabilidad de enfermedad periodontal.
Las manchas por tabaco no desaparecen con cepillado común, solo con limpieza profesional o blanqueamiento.
Una higiene irregular permite que la placa bacteriana actúe como una “esponja” que atrapa los pigmentos de la comida. Usar cepillo, hilo dental y enjuague específico para manchas es clave, pero también saber cómo cepillarse.
Dato experto: muchos pacientes creen que un cepillo duro limpia mejor, pero en realidad erosiona más el esmalte, aumentando la susceptibilidad a la tinción.
Algunos fármacos, como la tetraciclina o el exceso de fluoruro, pueden provocar manchas desde el interior del diente (en la dentina). Estas pigmentaciones no se eliminan con higiene ni blanqueamiento doméstico; requieren evaluación y tratamiento profesional.
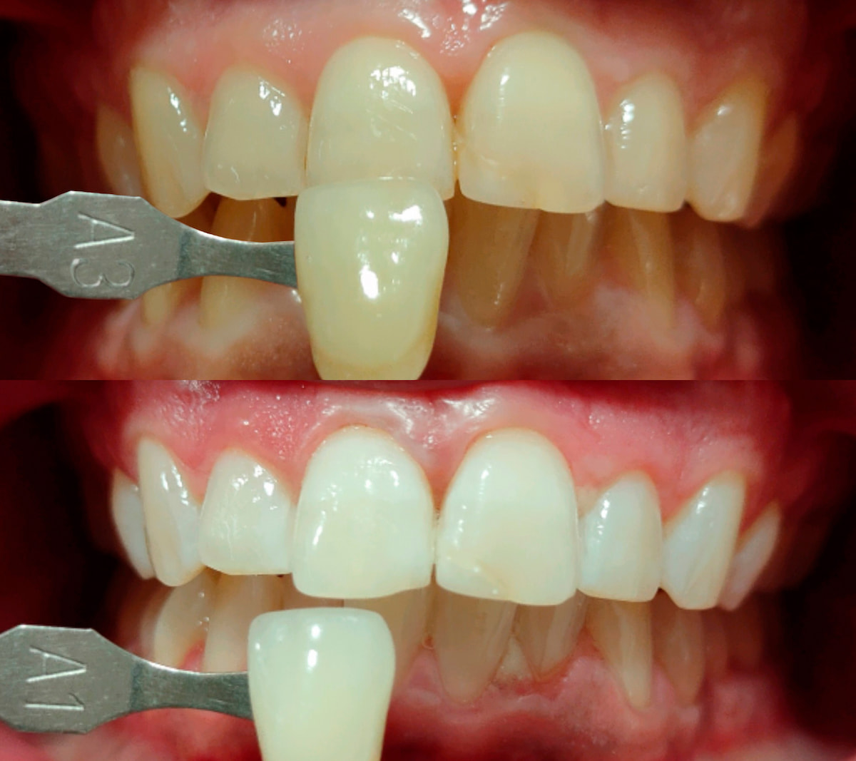
A pesar de seguir todas las recomendaciones, hay manchas que se vuelven resistentes o que se originan en capas internas del diente. En estos casos, el tratamiento más eficaz es el blanqueamiento dental profesional.
Atención: Evita los kits caseros sin supervisión. Solo un dentista puede garantizar un tratamiento eficaz y seguro.

Los alimentos que manchan los dientes son parte habitual de nuestra dieta y no es necesario eliminarlos por completo, pero sí tenemos que prestarles un poco más de atención que al resto, y evitarlos después de un blanqueamiento dental. Si notas que tus dientes han perdido brillo o presentan manchas persistentes, no esperes a que se agraven.
En Clínica Dental Masot contamos con tecnología avanzada y un equipo experto en estética dental que te ayudará a recuperar una sonrisa más blanca, saludable y natural, de forma segura y personalizada.